当院の精密根管治療について
こんにちは、副院長の安里啓です。
当院では根管治療の成功率を上げるためにマイクロスコープとラバーダムを用いて精密根管治療を行なっております。
今回はその概要のお話です。
神経の治療とは歯を保存するための治療で、「抜髄」と「感染根管治療」の2種類に分けられます。
「抜髄」は“Initial Treatment”と言われ、神経の治療がされていない歯の治療(初回の治療↓)になります。
→ 
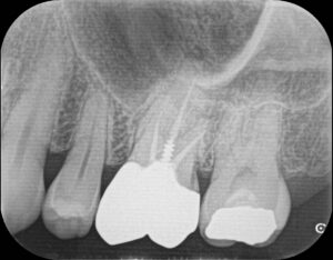
「感染根管治療」は“Retreatment”と言われ、過去に神経の治療がされている歯の治療↓になります。
→ 
過去に治療をされている歯は削られている範囲が大きかったり被せ物の隙間からむし歯になっていることが多いため、感染根管治療の方が抜髄に比べると治療の難易度があがり、成功率は低くなります。
どちらの治療も神経に細菌が感染し炎症を起こしているため神経の通り道である根管を綺麗にクリーニングして治療する必要があります。この根管の治療をする際にいかに無菌的な状態で治療ができるかが治療成功の秘訣とも言えます。
口腔内は細菌がたくさん存在しますが、唾液にも多く細菌が含まれます。
そこでこの細菌を治療中に入れないようにラバーダムというゴムのシートをかけ治療をすることで成功率を上げていきます。

↑がラバーダムをしている写真になりますが、ラバー自体も汚れているため術野の消毒を行わないといけません。

ラバーダムに高濃度の過酸化水素とポピドンヨードを用いて消毒を行い無菌的な環境が完成となります。
当院ではこの様に治療に適した環境を作り根管治療を行なっております。
治療回数は前歯と小臼歯は1回、大臼歯は2回で終わることがほとんどです。
初診検査と説明と合わせて2~3回でほとんどの方が終わります。
治療後は仮歯を使用してもらい3か月後にレントゲン検査を行い回復傾向にあれば最終補綴物をしていく流れとなります(その歯だけの治療であれば)
精密根管治療に関してはWeb予約またはお電話にて受け付けております。
https://reservation.stransa.co.jp/7d00ffc7b6d8766fde4ad001d42e38ef
Tel 098-879-0766
治療費用に関してはこちらから↓







