妊婦検診について
当院では浦添市の妊婦検診を受診できます。
妊娠したら母子健康手帳をもらいますが、その際に妊婦検診の案内があるかと思います。
https://www.city.urasoe.lg.jp/faq/60d43f7d64667334e2f6f1a1/
当院では浦添市にお住いの方が妊婦検診を受診することができます。
もちろん浦添市以外の妊婦さんでも受診はできますが、妊婦検診ではなく通常の保険診療となります。
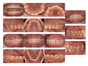
当院での妊婦検診は通常の検査項目に加え、口腔内写真を撮影し視覚的にどこか悪い箇所があるのかを見ていただくようにしております。

妊婦さんはホルモンバランスの影響を受けやすく口腔内の状態が変化しやすいのが特徴です。
特に歯茎が腫れやすかったり、悪阻で歯磨きがうまくできなかったりすると歯周病が進行しやすくなります。
歯周病菌は歯茎の毛細血管を経由し羊水に移動し低体重児出産や早産の原因になるともいわれております。
妊娠前に歯科の受診の期間が長くなっている方ほど要注意です!
写真を見ながら現在の状態を確認していただき治療が必要な場合は治療に進んでいただくようにしております。
またパートナーの方も歯科を受診してない期間が長いと要注意です!
歯周病は感染症です。。。(日常の回し飲みや直箸などでも感染するといわれております)
産まれてくるお子様のためにも妊婦検診を受診してみませんか?
Web予約はこちら⇓
https://reservation.stransa.co.jp/7d00ffc7b6d8766fde4ad001d42e38ef
電話予約はこちら⇓
098-879-0766
「浦添市の妊婦検診」とお伝えください!







