精密根管治療の受診の流れ(初診の方向け)
今回は精密根管治療の受診の流れについて説明いたします。
紹介状をお持ちの方は電話予約の際にお申し付けください。
もしくはWeb予約の備考欄に記載してください。
①初診60分
検査を行い現状の説明と治療方法やその予後についてご説明します。
CTレントゲン検査を行いますのでその際、11000円かかります。

②精密根管治療1回目(120分)
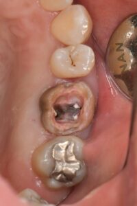
ⅰ.抜髄(過去に神経の治療がされていない歯の治療)の場合
➡むし歯の除去(隔壁作製)、神経の除去と根管内クリーニング、いけたら根管充填とレジンコア(土台)
ⅱ.再治療(過去に治療してる根管)の場合
➡過去の充填物やむし歯の除去と隔壁作製、根管内の充填物の除去とクリーニング
時間に余裕があれば根管充填とレジンコア


※治療費に関してはリンク参照
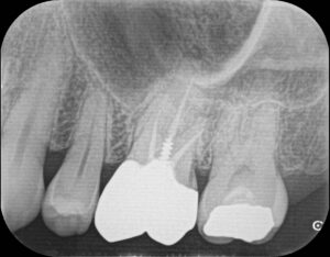
③精密根管治療2回目(120分)
最終洗浄と根管充填、レジンコア(土台)


根管治療に関してはここで終了となります。
この後は紹介元に戻るか当院で治療を継続することとなります。
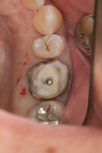
治療継続の場合は仮歯を作製します。
三か月後に経過のレントゲンを撮影し、最終補綴物を作製するか治りが悪い場合は外科処置(歯根端切除術)の案内になります。
治療に関しては大体のケースで2回で終わることが多いです。前歯に関しては1回で終わる事が多いです。
それぞれの症例によって治療可能かどうか、治療回数などが変わってきます。
精密根管治療は治療と治療の期間をなるべく開けない方がいいのでまとまった予約を取っていただいております。
まずはご相談ください。







